Gum inflammation
Unpleasant breath
Tooth sensitivity
Early signs of decay
Professional cleaning removes what daily routines can’t — protecting your smile now and preventing issues later.


1. Prevention of Tooth Decay
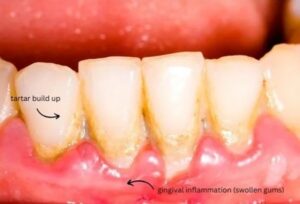
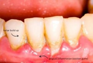
Despite brushing and flossing, plaque and tartar (hardened plaque) can still build up on your teeth, especially in areas that are hard to reach. Plaque contains bacteria that can lead to tooth decay and cavities. A dental cleaning removes this buildup, helping to prevent cavities before they start.
2. Gum Disease Prevention
Plaque buildup around the gum line can lead to gingivitis, the earliest stage of gum disease. If left untreated, gingivitis can progress to periodontitis, a more severe form of gum disease that can cause tooth loss. Regular cleanings remove plaque and tartar from below the gum line, reducing the risk of gum disease.
3. Early Detection of Oral Health Issues
During a cleaning, your dentist or dental hygienist checks for any signs of problems like cavities, gum disease, oral cancer, and other dental conditions. Catching these issues early makes them easier and less expensive to treat.
4. A Healthier Mouth
Dental cleanings help remove food particles, bacteria, and plaque that can cause bad breath (halitosis). Clean teeth and gums are healthier, more resistant to infections, and help you maintain a fresh, clean smile.
5. Long-Term Cost Savings
Preventing serious dental issues through regular cleanings can save you money in the long run. Avoiding conditions like tooth decay and gum disease reduces the need for expensive procedures like fillings, root canals, or tooth extractions.
6. Overall Health Benefits
Good oral health is linked to your overall health. Gum disease has been linked to other conditions such as heart disease, diabetes, and respiratory problems. By keeping your mouth healthy, you’re also supporting your overall well-being.
7. Brightening Your Smile
A dental cleaning removes surface stains caused by foods, drinks, or tobacco use. This can leave your teeth looking cleaner and brighter, boosting your confidence.